こんにちは!
愛知県名古屋市瑞穂区・南区イオンモール新瑞橋1F
プルチーノ歯科・矯正歯科、PITの伊藤です☆
今日から以前からやりたいと思っていたホワイトニングを
始めてみました(*^▽^*)
矯正でがたがたが前より収まってきたのと
私事ですが5月に挙式を控えて
いるということもありこのタイミングではじめることにしました(^_-)-☆
プルチーノ歯科・矯正歯科のホワイトニングはスーパーポリリン酸ホワイトニングを使用しいており、
歯の色を自然な白さにするだけではなく、痛みが少ないという特徴です(^^)/
また食事の制限がないので食いしん坊のわたしにはとてもうれしいです☆
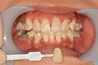
まずこちらが施術前

こちらが施術後

まだ1回目ですがだいぶ白くなりました(‘ω’)ノ
施術は1時間くらいなんですがわたしはぐっすり寝れてしまうくらい
痛みも感じなかったです( *´艸`)
次回の結果も楽しみです♡
愛知県名古屋市南区・瑞穂区イオンモール新瑞橋1F
プルチーノ歯科・矯正歯科
名鉄呼続駅から3分、地下鉄桜通線・名城線新瑞橋駅から徒歩5分
土日祝日診療
お電話は052-693-8241
矯正相談、治療相談いつでも受付けております。
We work for thanks and emotion.
人生のターニングポイントとなる歯科へ
プルチーノ歯科・矯正歯科




