- ホーム>
- 小児育成矯正
一人ひとりに合った歯科治療プランをご提案いたします。
貴方の悩みやご要望をお気軽にご相談ください。
目的・要望に沿った治療内容・治療計画をご提案いたします。
小児育成矯正

成長過程だからこそ出来る矯正治療
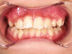
お子様の成長・健康のためにできること。歯列・噛み合わせが正常であればより健やかな成長を導いてくれます。
アゴの成長発育をある程度コントロールできるのは、こどもの時期だけ。
お子様の将来の為にも、小さな頃からのお口のケアをオススメします。
- 小児育成矯正のメリット
-
- アゴの成長発育をコントロールできます。
- 歯を抜く確率を減らすことがでできます。
- 出っ歯や受け口など、コンプレックスを解消。
- 正しく食べられる、正しく話せる。
プレオルソ(小児用マウスピース矯正装置)
プレオルソは、歯並びをキレイにするとともに、クセのついたお口の筋肉と舌の動きを正常に矯正するため、乳歯列期と混合歯列期である6~11歳の時に使用する小児用マウスピース矯正装置です。
取外し可能で、ご自宅にて使用・装着してもらいます。
筋肉や舌が正常に稼動しないことが原因で、アゴの成長が妨げられたり、悪歯列になることも矯正し、ぽかんと空いたままのお口であったり、歯ぎしりなどの改善にも役立ちます。
お子様、お母様と私たちプルチーノ歯科・矯正歯科とで、楽しみながら、健康なお口の健康を手に入れましょう!
- プレオルソの特徴
-
- 歯並びが悪化するのを予防
- 舌のトレーニングになる
- 口元の筋肉バランスを整える
- 顎の前後的・左右的なズレの改善
プレオルソの治療パターンとしては、
下記の3つがあげられます。
-
- プレオルソのみ
- プレオルソのみで一期治療完了。
-
- プレオルソ
+
部分的なワイヤー - 上下の顎の骨格は治療完了し、筋機能の改善も行われたが、プレオルソのみではガタガタが完全には治らず、部分的なワイヤー(前歯のみなど)を追加して一期治療完了。
- プレオルソ
-
- プレオルソ
+
全体的なワイヤー/インビザライン - 一期治療では、大まかに治療は完了しているが、全体的な矯正で更に仕上げが必要な場合に、ワイヤーやインビザラインに移行。
- プレオルソ
一期治療を行わずに二期治療のワイヤー/インビザラインを行う場合も、同じ¥800,000円〜(税込¥880,000円〜)となります。
早めに治療を開始し、一期治療のみで終了した場合は¥400,000円(税込¥440,000円)となり、二期治療に移行しても負担がマイナスにならないので早めの矯正治療がおすすめです。
また一期治療から二期治療に移行する場合も、二期治療の難度が大きく下がるため、患者様の負担も少なく矯正治療が可能です。
| プレオルソ&部分ワイヤー治療による一期治療 | ¥550,000(税抜:¥500,000-) (部分ワイヤー追加など追加装置代含む) [期間:1.5年制約] |
|---|---|
| 一期治療から二期治療(インビザライン)への移行 | ¥440,000-(税抜:¥400,000-) (二期治療 インビザライン に移行する場合) [期間:3.5年制約] |
| インビザライン ファースト +インビザライン 二期治療 |
セット料金:¥880,000-(税抜:¥800,000-) |

管理栄養士による食育指導
プルチーノ歯科・矯正歯科では、歯並びをよくする事だけを考えるのではなく、生涯を通じて自分の歯で美味しく食べて頂くために、お子様への安全な「食育」を指導していいます。
管理栄養士の資格をもつスタッフが常駐しておりますので、お気軽にご相談ください。
| 小児矯正(一期治療) 治療費 |
¥500,000-(税抜:¥550,000-)
|
|---|
お子様でも、透明マウスピース型の矯正治療が可能になりました。

インビザライン・ファースト
従来、マウスピース型装置(インビザライン)は基本的に大人を対象としたものでしたが、新たにインビザライン・ファーストと呼ばれる装置が開発されました。この登場により、6~11歳のお子さまでも、透明なマウスピース型装置による矯正治療が可能となりました。
小児育成矯正についてを動画にて説明いたします。
お子様の歯並び
予防矯正の効果
歯並びが悪くならないように柔らかい物ばかりにならない様に心がけていたはずなのに!どうしてこんな歯並びに? そうお悩みの親御さん、少なくはないのでしょうか。
本格的な矯正になる前にマウスピースによる予防矯正という方法があります。このマウスピースによる予防矯正の効果として
- ・歯並びの改善
- ・咬み合わせの改善
- ・口呼吸から鼻呼吸へ
- ・お口ポカンの改善
- ・正しい飲み込み
などがあります。
歯並びが悪いと
- *歯が磨きづらい → 磨き残し(歯垢)が多くなる → 虫歯や歯周病になりやすい → 歯の寿命が短くなる
- *よく噛めない → 消化に悪い → 胃腸に負担
- *発音が悪くなる
などなど、見た目だけではないデメリットがたくさん有るのです。
ですから、歯並びをよくする事は良い発音でよく噛め、歯(口腔内)をより清潔に健康に保ちやすくし、自分の歯をより永く残していけるのです。
これらのことを知っていると、見た目の事よりも もっと大事なことが守れます。
10歳児のマウスピースの予防矯正⦅プレオルソ⦆
当院のスタッフのお子さまの予防矯正の様子をご紹介させていただきます。
これから生えてくる歯も写っているのですが、今の顎の大きさだと生えきれないのでこのデータをもとに口に合ったマウスピースを処方していきます。
⦅プレオルソ⦆で口周りの筋肉機能を改善させ、顎が大きくなれば、生えきれない歯が生えられるスペースが出来て次のステップ本格矯正の時に歯を抜かなくて済みます。より多くの歯を残していきます。
予防矯正 ~プレオルソ装着~
先ずは装着の仕方をお教えさせていただきます。
学校に行っている間や、食事の時は装着しません。
主に学校から帰った後や寝ている間に装着し、なるべく唇を閉じる事を意識します。
装着しながら上手に話せたり、唾が呑み込めるようになると良いです。
痛いところはないか、個々の口に合うように丁寧に調節します。
プレオルソの装着を数年続け、口周りの筋肉機能の発達改善させを顎の発育を促します。
プレオルソ調整

装着してから約1か月が経ち、その間に乳歯が2本抜けました。
プレオルソ効果で顎の発達が促され、口腔内では日々変化が起きています。
通院は2~3週間くらいに1度位が望ましいです。
また、プレオルソ装着と同時に “ あ い う べ 体操 ”(舌や口周りの筋肉を鍛えます) に取り組むことが大事で、歯科衛生士が指導させて頂きます。
日々取り組むにあたり、タイミングを決めて習慣化すると続けやすいので、入浴のカウント代わりに“あいうべ”30回をやる!とお子様と歯科衛生士とでお約束。
2回目の調整では、患者様ご本⼈様にも変化を実感いただくことができました。
















