こんにちは!
愛知県名古屋市瑞穂区・南区イオンモール新瑞橋1F
プルチーノ歯科・矯正歯科 管理栄養士 吉田です!
ホワイトニング6回目をしました!
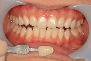
施術前

施術後

全体の黄ばみがなくなり白くなりました!
ブログをさかのぼっていただけると分かりますが
ホワイトニングを始める前はA3.5だった歯の色が
今ではEWYのホワイトニングカラーにまで白くきれいになりました!
周りの人にも白くなったねって言われるとすごくうれしいです!
これからも虫歯を作らず白い歯を保ち続けるために歯磨きとフロスを頑張ります★
プルチーノ歯科・矯正歯科で行うホワイトニングはスーパーポリリン酸ホワイトニングです!
歯を白く、歯を強化してくれて、食事制限もありません!
3回コース 36,000円+tax
6回コース 60,000円+tax
6回以降の追加は8,000円+taxです。
ご興味のある方はぜひ一度相談に来てみて下さい!
お待ちしております!
愛知県名古屋市南区・瑞穂区イオンモール新瑞橋1F
プルチーノ歯科・矯正歯科
名鉄呼続駅から3分、地下鉄桜通線・名城線新瑞橋駅から徒歩5分
土日祝日診療
お電話は052-693-8241
矯正相談、治療相談いつでも受付けております。
We work for thanks and emotion.
人生のターニングポイントとなる歯科へ
プルチーノ歯科・矯正歯科




