愛知県名古屋市瑞穂区•南区イオンモール新瑞橋1Fにある
プルチーノ歯科•矯正歯科
PIT(プルチーノインビザラインチーム)の黒田です 😊
こんにちは!
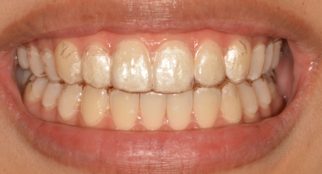
インビザライン矯正がスタートしました!
透明のマウスピースタイプなので目立ちません ♪

装着した状態がこちらです

取り外しが可能なので
歯磨きも今まで通りで大丈夫です 😊!
このインビザラインのための型どりの際に
やわらかい粘土のようなものを流して型どりをしていたので
苦手な方もいたのではないでしょうか 💦
これから光学印象機器を導入します!
光学印象とは光を当てて口腔内で計測していく方法なので
お口の中で型どりをするような不快感がなくなります 😊
愛知県名古屋市南区イオンモール新瑞橋1Fにあるプルチーノ歯科•矯正歯科
名鉄呼続駅から3分、地下鉄桜通線•名城線新瑞橋駅から徒歩5分
土日祝日診療
お電話は052-693-8241
矯正相談、治療相談いつでも受付けております。




