“安心して治療を受けていただくために”
プルチーノ歯科・矯正歯科
患者様とのお約束
- 無料カウンセリングでご契約の話はいたしません。
- 綿密な治療計画をご提案してから治療を開始します。
- 格安マウスピース矯正や実績のない歯科医院による矯正治療で被害に遭われた方
のご相談を受け付けています。
希望通りの歯並びにならなかった方や後戻りしてしまった方、ご相談ください。
無料診断で
もし矯正治療をしたら、
どのように歯並びが変化するか
見てみませんか?
下記内容について無料で実施いたします。
-

初診料

-

カウンセリング料

-

歯並び
シミュレーション
プルチーノ歯科・矯正歯科が
選ばれる6つ理由
Reason 01
インビザライン・ブラックダイヤモンド・
プロバイダー認定
プルチーノ歯科・矯正歯科 は、インビザラインの歯科矯正治療実績が評価され、「インビザライン・ブラックダイヤモンド・プロバイダー」に認定されています。
年間400症例以上の治療を行った医院に付与される認定資格です。

Reason 02
1,970症例以上の実績
(2024年12月現在)
2017年から2024年12月までで、マウスピース型矯正装置(インビザライン)の症例が1,970症例以上となりました。
治療可能な症状かどうかわからず不安な方も、ぜひ1度お気軽にご相談ください。

Reason 03
患者様のお悩みに寄り添った
丁寧なカウンセリング
まず患者様のお口の悩みやご要望について、丁寧にカウンセリングを行います。
その上で、インビザラインのメリットやデメリット、具体的な治療方法や期間、費用についてしっかりとご説明します。
当医院では、インビザライン矯正をご検討されている方向けに、矯正無料相談もおこなっております。
実際に治療を始めるかどうかは、相談後に決める事ができますので、ご安心下さい。

Reason 04
より精密で安心な矯正治療を
ご提供
より精密な矯正治療のために高精度歯型3Dスキャン「iTero element 5D」を導入しております。
口腔内の状態を3Dデータとして精密に取り込むことができるため、シリコンでは再現できなかった細かな凹凸まで再現することが可能です。
これにより、たくさんの患者様が安心して治療頂ける歯科矯正をご提供いたします。

Reason 05
マウスピースとワイヤーを併用した
”ハイブリッド矯正治療”が可能
当院では、万が一マウスピース矯正で理想の歯並びにならない場合、費用内でワイヤー矯正治療ができます。
安心して理想の歯並びを手に入れましょう。

Reason 06
月々3,200円(税込)から矯正治療が可能
デンタルローンのご利用で月々3,200円(税込)から矯正治療を受けられます。
詳しくはページ下部の料金プランと初回無料相談の際にお聞きください。
※自由診療につき公的医療保険適用外

マウスピース矯正
(インビザライン)の特徴
目立たず周囲から気づかれにくい

インビザラインは厚さが約0.5mmと薄く、透明で目立ちにくいため、装着していることがほとんどわかりません。人前で話す機会が多い方でも見た目のストレスを感じずに矯正治療を進めることができます。
取り外し可能で気軽に華やかな場面へ

マウスピース矯正の大きな特徴が矯正器具が簡単に取り外せることです。特別な行事がある場合でも、その間はアライナーを取り外し、終了後に再び装着していただくことも可能です。
お口の健康を良好な状態に維持できる

マウスピース矯正(インビザライン)では取り外しができるマウスピースを使用するため、毎回の歯磨きも普段どおり行うことができます。また、丸洗いも可能なので衛生的に使用することができ、虫歯や歯周病になりやすい人におすすめです。
ワイヤー矯正に比べ、通院回数が少ない

ワイヤー矯正の場合、毎月一回程度の調整が必要となりますが、インビザラインの場合、あらかじめお渡ししたマウスピースを2週間ごとに交換し、段階的に歯を動かしていく治療法のため、通院回数を抑えながら矯正治療を行うことが可能です。

- 特殊な症例の方、費用を抑えたい方は従来の「ワイヤー矯正」がお勧めです。
- 歯並びの状況などによりマウスピース矯正が難しい方には、従来のワイヤー矯正をご案内させていただく場合もございます。ワイヤー矯正は、症例次第で費用を抑えられることや、様々な症例に幅広く適用できるメリットがあります。マウスピース矯正が適用できるか不安な方、費用を少しでも抑えたいという方はお気軽にご相談ください。
自由診療に係る治療等に係る
主なリスク、副作用等に関して
- 症例によっては対応できないことがあります。
- 最初は矯正装置の装着による不快感や違和感があります。
- 歯の移動には、個人差がありますが、痛みが伴うことがあります。
- 歯の移動に伴い、顎関節症状が出る可能性があります。
- マウスピース矯正装置を誤飲する可能性があります。
- 場合によっては歯が動かない可能性があります。
- 個々人のケースにより、当初の治療計画を変更する可能性があります。
- 歯科医師の指導に従わない場合、治療期間終了後に元に戻る可能性が高まります。
- 治療後に智歯(親知らず)が生えてきたことにより、歯並びに変化が生じる可能性があります。
プルチーノ歯科・矯正歯科
矯正治療実績
グループ累計1,970件の矯正治療実績から
キレイな歯並びになるために最適な治療をいたします。
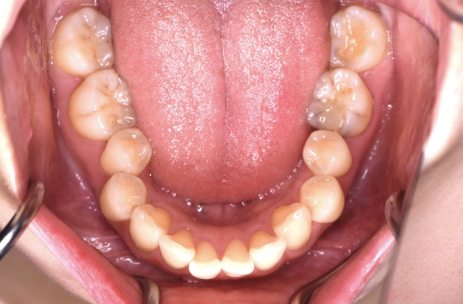
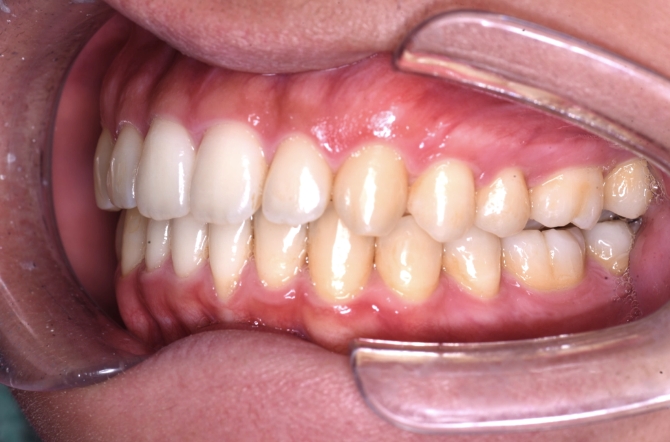
CASE 01歯並びと咬み合わせを治したい
-
Before
-
After
-
Before
-
After
-
Before
-
After
-
Before
-
After
-
Before
-
After
| 矯正種類 | 成人矯正 |
|---|---|
| 抜歯有無 | 上下抜歯 |
| 治療期間 | 3年 |
| 費用 | 990,000円 |
CASE 02ガタガタした歯並びを綺麗にしたい
-
Before
-
After
-
Before
-
After
-
Before
-
After
-
Before
-
After
-
Before
-
After
| 矯正種類 | 成人矯正 |
|---|---|
| 抜歯有無 | 上下抜歯 |
| 治療期間 | 3年 |
| 費用 | 990,000円 |
CASE 03出っ歯を治したい
-
Before
-
After
-
Before
-
After
-
Before
-
After
-
Before
-
After
-
Before
-
After
| 矯正種類 | 成人矯正 |
|---|---|
| 抜歯有無 | 上顎のみ抜歯 |
| 治療期間 | 3年 |
| 費用 | 990,000円 |
CASE 04開咬を治したい
-
Before
-
After
-
Before
-
After
-
Before
-
After
-
Before
-
After
-
Before
-
After
| 矯正種類 | 成人矯正 |
|---|---|
| 抜歯有無 | 抜歯なし |
| 治療期間 | 2年半 |
| 費用 | 880,000円 |
CASE 05前歯の歯並びを治したい
-
Before
-
After
-
Before
-
After
-
Before
-
After
-
Before
-
After
-
Before
-
After
| 矯正種類 | 成人矯正 |
|---|---|
| 抜歯有無 | 上顎のみ抜歯 |
| 治療期間 | 2年半 |
| 費用 | 990,000円 |
CASE 06すきっ歯、出っ歯を治したい
-
Before
-
After
-
Before
-
After
-
Before
-
After
-
Before
-
After
-
Before
-
After
| 矯正種類 | 成人矯正 |
|---|---|
| 抜歯有無 | 抜歯なし |
| 治療期間 | 2年 |
| 費用 | 880,000円 |
CASE 07開咬を治したい
-
Before
-
After
-
Before
-
After
-
Before
-
After
-
Before
-
After
-
Before
-
After
| 矯正種類 | 成人矯正 |
|---|---|
| 抜歯有無 | 上下抜歯 |
| 治療期間 | 2年 |
| 費用 | 990,000円 |
CASE 08すきっ歯、出っ歯を治したい
-
Before
-
After
-
Before
-
After
-
Before
-
After
-
Before
-
After
-
Before
-
After
| 矯正種類 | 成人矯正 |
|---|---|
| 抜歯有無 | 抜歯なし |
| 治療期間 | 2年 |
| 費用 | 880,000円 |
プルチーノ歯科・矯正歯科
矯正治療の料金表
料金表は税込価格となります。
大人の矯正(12歳以上)
| 初診料 | 0円 |
|---|---|
| 初回カウンセリング | 0円 |
| 歯並びシミュレーション | 0円 |
| 精密検査(初回のみ) | 66,000円 |
| マウスピース矯正 |
|
| オプション |
|
| 調整料・観察料 | 5,500円/回 |
| 追加アライナー | 9,900円/回 |
※マウスピース矯正の治療中にワイヤー矯正での修正が必要な場合は無料で治療します。
子供の矯正(6~12歳)
| 初診料 | 0円 |
|---|---|
| 初回カウンセリング | 0円 |
| 歯並びシミュレーション | 0円 |
| 精密検査(初回のみ) | 66,000円 |
| マウスピース矯正 |
|
| 調整料・観察料 | 5,500円/回 |
| 追加アライナー | 9,900円/回 |
支払い方法
-
現金払い・お振込
-
クレジット払い

-
デンタルローン
デンタルローンは24回まで金利が無料です。
| 年数 | 330,000円 の場合 (月額支払い費用) |
880,000円 の場合 (月額支払い費用) |
|---|---|---|
| 1年 | 27,500円 | 73,300円 |
| 2年 | 13,700円 | 36,600円 |
| 3年 | 9,700円 | 25,900円 |
| 4年 | 7,400円 | 19,800円 |
| 5年 | 6,000円 | 16,100円 |
| 6年 | 5,100円 | 13,700円 |
| 7年 | 4,400円 | 11,900円 |
医療費控除について
医療費控除とは、その年の1月1日から12月31日までの間に患者様本人、または家族全員の1年間の医療費の合計が10万円を超えた場合に一定の金額が返還される制度です。
確定申告することで還付金を受け取ることができます。
※参考例となりますので、詳細は国税庁の電話相談センターなどへご相談ください。
成人矯正で治療費が
880,000円の場合
| 所得額 (万円) |
還付金額 (還付金+減税額) |
|---|---|
| 250 | 156,000円(78,000円+78,000円) |
| 300 | 156,000円(78,000円+78,000円) |
| 400 | 234,000円(156,000円+78,000円) |
| 500 | 234,000円(156,000円+78,000円) |
| 600 | 234,000円(156,000円+78,000円) |
| 700 | 257,400円(179,400円+78,000円) |
| 800 | 257,400円(179,400円+78,000円) |
| 900 | 257,400円(179,400円+78,000円) |
| 1000 | 335,400円(257,400円+78,000円) |
小児矯正で治療費が
550,000円の場合
| 所得額 (万円) |
還付金額 (還付金+減税額) |
|---|---|
| 250 | 68,000円(34,000円+34,000円) |
| 300 | 68,000円(34,000円+34,000円) |
| 400 | 102,000円(68,000円+34,000円) |
| 500 | 102,000円(68,000円+34,000円) |
| 600 | 102,000円(68,000円+34,000円) |
| 700 | 112,200円(78,200円+34,000円) |
| 800 | 112,200円(78,200円+34,000円) |
| 900 | 112,200円(78,200円+34,000円) |
| 1000 | 146,200円(112,200円+34,000円) |
インビザライン治療の流れ

STEP01無料カウンセリング
歯並びのお悩みや矯正治療に関する疑問をヒアリングさせていただいた上で、インビザラインのメリット・デメリットや具体的な治療内容、費用等についてご説明いたします。まずは当院にご予約のうえお越しください。
約30分

STEP02精密検査 ・型取り
まず虫歯や歯周病の有無を確認します。問題がなければ口腔内写真・レントゲン撮影、3Dスキャナー(iTero)で歯型の採取などを行います。精密検査では、お口の中の状態はもちろんのこと、顎や頭部全体のデータを採取します。
約60分

STEP033Dシュミレーション
(3Dデジタル分析)
治療開始から完了までの歯の移動を、クリンチェックソフトウェア(3Dシミュレーションソフト)を用いてシミュレーションします。最終的に患者様の歯並びがどのようになるのか、映像を見ながら患者さまにご説明させていただきます。
約30分

STEP04マウスピースの使用開始
マウスピースが完成しましたら、装置の使い方や使用時の注意点などについて詳しい説明をお受けいただき、着脱の練習を行なっていただきます。治療方法についてご理解いただいた上で、装置をお渡して治療スタートとなります。
約15分〜30分

STEP05歯のクリーニング・
アタッチメント装着
約2週間後にご来院いただき、歯並びの変化を確認します。この時、歯のクリーニングと、歯をより効果的に動かすためのアタッチメントというものを装着します。その後、新しいマウスピース型装置をお渡しするので、ご自宅で取り替えながら装着していただきます。
約30分

STEP06治療の進行状況を
定期的にチェック
矯正期間中、1~2ヵ月ごと、定期的にご来院いただいて歯並びの変化を確認します。歯が予定通りに移動をしているかを確認し、必要に応じてマウスピースの微調整を行わせていただきます。
約15分〜30分

STEP07後戻りを防止するための
保定期間へ
シミュレーションと治療後の歯並びの状態を比較し、見た目や噛み合わせなどを確認して問題なければアタッチメントを取り除きます。その後、歯の後戻りを防止用のマウスピース(リテーナー)を作成し、一定期間使用していただきます。
定期検診へ
よくある質問
-
- インビザラインの矯正治療はどれくらい痛いですか?
- 痛みの感覚に個⼈差はありますが、インビザラインは、段階的に⻭を動かしながら⻭並びを矯正するので、⼀般的に痛みが少ないと考えられています。
-
- 治療費の分割払いは可能ですか?
- 当院ではクレジットカードが使⽤可能なことに加え、デンタルローンも利⽤が可能です。
お気軽にスタッフにお問い合わせください。
-
- 年齢制限はありますか?
- インビザラインには特に定められた年齢制限はありません。
⼝腔内が健康な状態であれば、何歳からでも治療は可能です。
また当院では⼩児⽤のインビザラインの取り扱いもございますのでお気軽にご相談ください。
-
- 治療にかかる期間はどれくらいかかりますか?
- 治療期間は、⻭並びやかみ合わせによっても変わってきますので⼀概には⾔えませんが、⼀般的には1年半〜2年くらいの場合が多いようです。
-
- マウスピース矯正でも抜⻭を⾏うのですか?
- マウスピース矯正では出来る限り「抜⻭をしない」という選択のもとで治療⽅法を検討しますが、⻭並びやお⼝の状態によっては抜⻭が必要なケースもございます。
また、抜⻭まで⾄らなくとも、少しだけ⻭を削って調整する⽅法を採ることもあります。
ご⼼配な場合は⻭の状態を拝⾒して治療⽅針のご相談ができればと思います。
名鉄「呼続」駅から徒歩5分・
イオンモール新瑞橋 大型駐車場完備!
名古屋本院のご案内

プルチーノ歯科・矯正歯科 名古屋本院
〒457-0012 愛知県名古屋市南区菊住1-7-10
イオンモール新瑞橋1F
| 診療時間 | 月 | 火 | 水 | 木 | 金 | 土 | 日 | 祝 |
|---|---|---|---|---|---|---|---|---|
| 10:00-13:00 | 〇 | 〇 | 〇 | 〇 | ||||
| 14:30-19:00 | 〇 | 〇 | 〇 | 〇 | ||||
| 10:00-18:00 | 〇 | 〇 | 〇 |
学会参加などの為、臨時休診の場合がございます。
臨時休診に関しまして、お知らせをご確認ください。
名鉄名古屋線 「 神宮前」駅から直結!
ミュープラット神宮前の大型駐車場も完備!
名古屋 神宮前院のご案内

プルチーノ歯科·矯正歯科 名古屋 神宮前
〒456-0032 愛知県名古屋市熱田区三本松町18-4
ミュープラット神宮前4F
| 診療時間 | 月 | 火 | 水 | 木 | 金 | 土 | 日 | 祝 |
|---|---|---|---|---|---|---|---|---|
| 10:00-13:00 | 〇 | 〇 | 〇 | 〇 | ▲ | ▲ | ▲ | |
| 14:30-19:00 | 〇 | 〇 | 〇 | 〇 | ▲ | ▲ | ▲ |
▲ 土・日・祝 9:00〜13:00/14:00〜17:30
休診日 木曜
